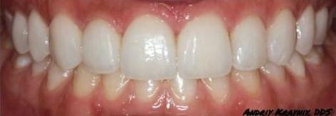
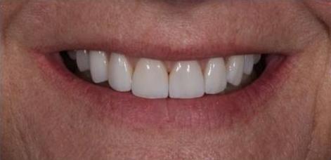
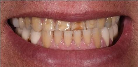
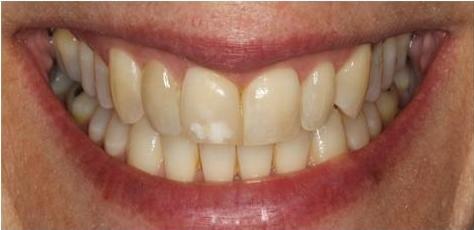
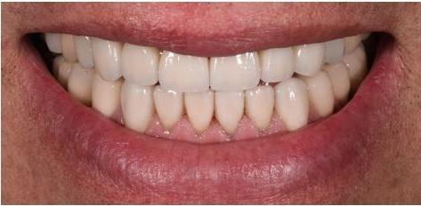
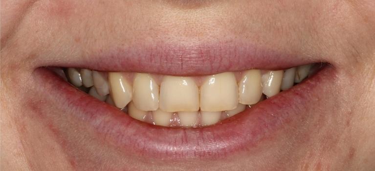
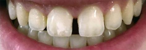
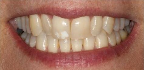
There's nothing our dentists enjoy more than seeing how delighted our patients are when we reveal their newly-restored smile. Please take a moment to browse our before and after pictures of actual patients to see some of the smile transformations we've created.
Smile Gallery Categories
He came highly recommended to me
Dr. Krayniy is a wonderful dentist. He came highly recommended to me by a friend whom is also a patient of his. I feel very fortunate to have gotten in an emergency appointment with him at this time. He has been very thorough in his communication with me about my options and has offered me a lot of ease in my anxiety during the procedure (root canal). Dr. Krayniy is very skilled, calm, communicative and kind. I highly recommend him!
- Kelly H.
